Take a virtual consultation if you’re short on time, but would like to get an estimate on the length of treatment and cost of Invisalign or braces. Use your phone or a digital camera to take the images below. It may help to have a friend or family member take the pictures so you can move your cheeks out of the way to get the best shot. Try and get as close as you can while still showing the entire mouth in focus.
Try and follow the instructions and examples, but just do your best! We’ll do our best to give you an accurate assessment. If you have any issues, you can also email us directly at info@scantlebury-orthodontics.com.

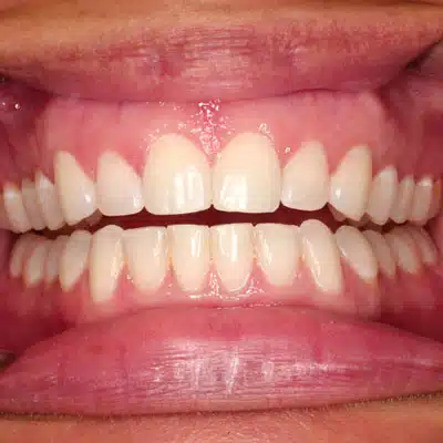
FRONT SMILING
Give us a big smile! Make sure you keep a little bit of space between your top and bottom teeth.

RIGHT BITE
Make sure you’re biting down on your back teeth all the way. Then use your finger to pull back your right cheek so we can see how your teeth are fitting together.

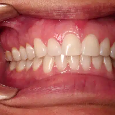
LEFT BITE
Same as the right, but the other side.

TOP TEETH
Tilt your head up and open your mouth wide. Try and get as many of your top teeth in the picture as possible (this one is easier if you ask a friend to help!)

BOTTOM TEETH
Tilt your chin down towards your chest and open your mouth wide. Try and get as many of your bottom teeth in the picture as possible (helps to hold your cheeks out while a friend snaps a pic).

PROFILE OF TEETH
Make sure you’re biting down on your back teeth all the way. Then retract your lips so we can see how your bite aligns. (It helps to have your friend take this picture too)
Upload Your Images Here
Note that the form on our website is not able to accept large file sizes, so please be sure to upload photos that are 10MB or less.
