Key Takeaways There are two main categories of retainers: removable retainers and fixed retainers. Both are designed to help keep teeth in their corrected positions after orthodontic treatment. Retainers are…
Key Takeaways There are two main categories of retainers: removable retainers and fixed retainers. Both are designed to help keep teeth in their corrected positions after orthodontic treatment. Retainers are…
Key Takeaways Every orthodontic appointment has an important purpose, helping your orthodontist monitor progress and make adjustments as needed to keep treatment moving in the right direction. Appointment timing depends…
Starting orthodontic care often comes with one main question. How long will it take before you see real changes? Invisalign treatment time is one of the first things people want…
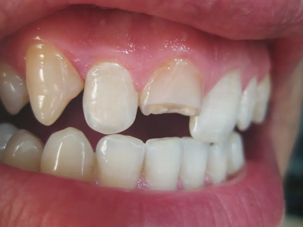
Dental injuries, such as cracked or broken teeth, can happen to anyone at any age. For children and teens, these injuries are not only painful but can affect bite alignment,…
A healthy smile isn’t just about straight teeth—it’s also about comfort and function. If you’ve ever experienced a sharp twinge when sipping hot coffee or eating ice cream, you may…
Tooth pain is not just uncomfortable — it can disrupt your daily life, making simple tasks like eating, speaking, or sleeping difficult. At Scantlebury Orthodontics, we understand how important it…
How to Transform Your Smile with Ceramic Braces in Brooklyn, NY A confident smile can change how you feel and how others see you. Many people in Brooklyn are looking…
Improving your smile isn’t just for teenagers anymore. More adults are starting orthodontic treatment now than ever before. With modern options and more discreet solutions, adult orthodontics is helping people…
Orthodontic care isn’t just for teens. In fact, starting early can sometimes make a big difference in your child’s long-term dental health. Many parents begin to hear about children braces…
Choosing between braces vs Invisalign is a common decision for anyone looking to straighten their teeth. Both options are designed to improve your smile, but they work in very different…