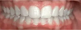
Before & After
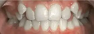
Case 1:
In this patient’s case, the “eye” teeth are up higher than normal and the upper jaw has crowding.


Case 2:
This patient’s upper jaw has spacing and his front teeth overlap severely.


Case 3:
This patient’s front teeth do not touch normally, forming an openbite.


Case 4:
In this case, there is a spacing problem in the upper jaw.


Case 5:
The patient’s upper front teeth extend out over the lower front teeth, forming an overbite.


Case 6:
In this case, the upper teeth are inside the lower teeth, which is also known as an underbite.


